Images in Tropical Medicine Quiz
This is the first in a series of monthly quizzes provided by The American Committee on Clinical Tropical Medicine and Travelers' Health (ACCTMTH), ASTMH's Clinical Group. The images used in the quiz are from the Images in Clinical Tropical Medicine series in the American Journal of Tropical Medicine and Hygiene.
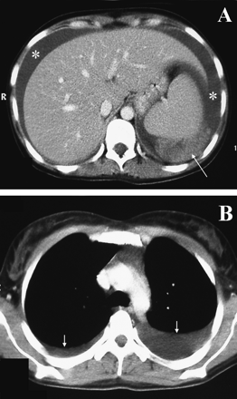
1. A 29-year-old woman in New Delhi, India was admitted with a 7-day history of fever, myalgia, and headache. She had had recurrent melena since the third day of illness. She was febrile and anicteric. No rash or lymphadenopathy was evident, and a tourniquet test was negative. Mild hepatomegaly and shifting abdominal dullness were present. Platelet count was 90,000/microliter; hematocrit was 33%. A peripheral blood smear did not show malarial parasites. Blood cultures were sterile. On hospital day 3, the patient had a sudden onset of abdominal pain and distension; hematocrit dropped to 15%. Abdominal computed tomography is shown in the Figure. Paracentesis yielded frankly hemorrhagic fluid with a hematocrit of 11%.
What caused this precipitous decline? What is the underlying infectious process?

Click here for the answer and discussion.
The American Society of Tropical Medicine and Hygiene (ASTMH), founded in 1903, is a worldwide organization of scientists, clinicians, and program professionals whose mission is to promote global health through the prevention and control of infectious and other diseases that disproportionately afflict the global poor. Learn more about us.