Pictorial Presentation of Parasites by Herman Zaiman

Thanks to the generosity of Herman Zaiman and his family, ASTMH proudly presents “Pictorial Presentation of Parasites,” a famous collection of more than 2,000 slides of various vectors.

Dr. Zaiman, a longtime ASTMH member, spent his career as a radiologist and educator until retiring in 2000. He taught at Einstein College in New York. He also co-authored several medical texts, including "Photographic Case Studies in Gastroenterology: Diagnostic Tests for the Practitioner" in 1992. Additionally, his writing has appeared in journals such as the Journal of Histochemistry & Cytochemistry and the American Journal of Pathology.

His "Pictorial Presentation of Parasites" is a seminal image collection that will remain a valued resource for those in the tropical medicine and hygiene field for decades to come.

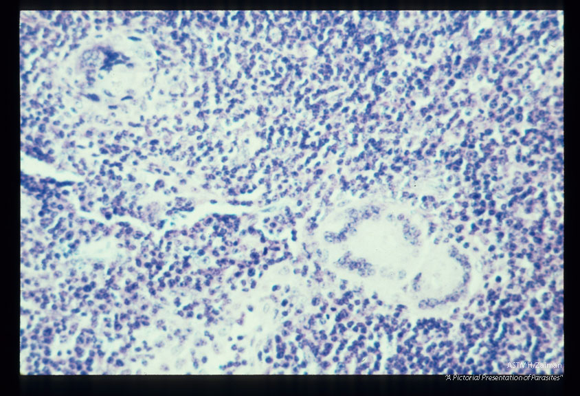
Giant cell granulomata induced in mesenteric lymph nodes by experimental infection in Erythrocebus patas.

Strongyloides stercoralis

Download

Size: 180 kB
Description: Giant cell granulomata induced in mesenteric lymph nodes by experimental infection in Erythrocebus patas.
Uploaded: 10/27/2015
Type: .jpg

GoTropMed