Pictorial Presentation of Parasites by Herman Zaiman

Thanks to the generosity of Herman Zaiman and his family, ASTMH proudly presents “Pictorial Presentation of Parasites,” a famous collection of more than 2,000 slides of various vectors.

Dr. Zaiman, a longtime ASTMH member, spent his career as a radiologist and educator until retiring in 2000. He taught at Einstein College in New York. He also co-authored several medical texts, including "Photographic Case Studies in Gastroenterology: Diagnostic Tests for the Practitioner" in 1992. Additionally, his writing has appeared in journals such as the Journal of Histochemistry & Cytochemistry and the American Journal of Pathology.

His "Pictorial Presentation of Parasites" is a seminal image collection that will remain a valued resource for those in the tropical medicine and hygiene field for decades to come.

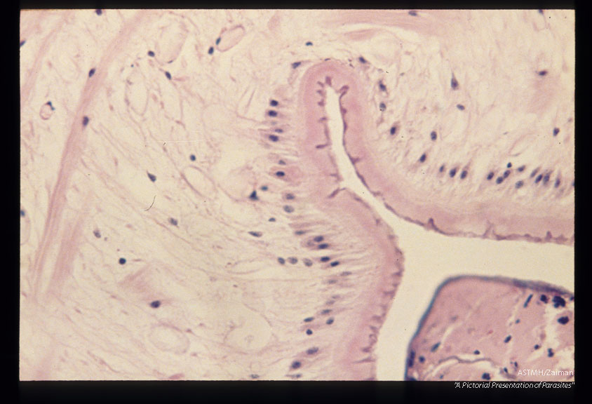
Multiple sections through subcutaneous human tissue containing a sparganum and through the sparganum itself. Note the tremendous inflammatory reaction.

Sparganum

Download

Size: 108 kB
Description: Multiple sections through subcutaneous human tissue containing a sparganum and through the sparganum itself. Note the tremendous inflammatory reaction.
Uploaded: 10/27/2015
Type: .jpg

GoTropMed