Pictorial Presentation of Parasites by Herman Zaiman

Thanks to the generosity of Herman Zaiman and his family, ASTMH proudly presents “Pictorial Presentation of Parasites,” a famous collection of more than 2,000 slides of various vectors.

Dr. Zaiman, a longtime ASTMH member, spent his career as a radiologist and educator until retiring in 2000. He taught at Einstein College in New York. He also co-authored several medical texts, including "Photographic Case Studies in Gastroenterology: Diagnostic Tests for the Practitioner" in 1992. Additionally, his writing has appeared in journals such as the Journal of Histochemistry & Cytochemistry and the American Journal of Pathology.

His "Pictorial Presentation of Parasites" is a seminal image collection that will remain a valued resource for those in the tropical medicine and hygiene field for decades to come.

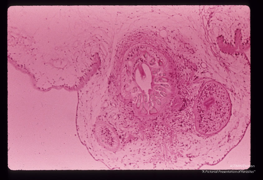
A 32 month old white male in South Dakota suffered progressive lassitude,   anorexia,   irritability,   incoordination and infrequent vomiting.  A suboccipital craniotomy was performed during which a grape-like mass of translucent thin wall cysts was discovered and partially evacuated with difficulty.  Subsequently patient developed flexion rigidity of the  extremities,  non-reactive pupils and decreased consciousness.  A sinus tract at the operative site con­tained more cysts.  The patient died three months after the onset of symptoms.  Section through scolex and membrane.

Multiceps

Download

Size: 121 kB
Description: A 32 month old white male in South Dakota suffered progressive lassitude, anorexia, irritability, incoordination and infrequent vomiting. A suboccipital craniotomy was performed during which a grape-like mass of translucent thin wall cysts was discovered and partially evacuated with difficulty. Subsequently patient developed flexion rigidity of the extremities, non-reactive pupils and decreased consciousness. A sinus tract at the operative site con­tained more cysts. The patient died three months after the onset of symptoms. Section through scolex and membrane.
Uploaded: 10/27/2015
Type: .jpg

GoTropMed