Pictorial Presentation of Parasites by Herman Zaiman

Thanks to the generosity of Herman Zaiman and his family, ASTMH proudly presents “Pictorial Presentation of Parasites,” a famous collection of more than 2,000 slides of various vectors.

Dr. Zaiman, a longtime ASTMH member, spent his career as a radiologist and educator until retiring in 2000. He taught at Einstein College in New York. He also co-authored several medical texts, including "Photographic Case Studies in Gastroenterology: Diagnostic Tests for the Practitioner" in 1992. Additionally, his writing has appeared in journals such as the Journal of Histochemistry & Cytochemistry and the American Journal of Pathology.

His "Pictorial Presentation of Parasites" is a seminal image collection that will remain a valued resource for those in the tropical medicine and hygiene field for decades to come.

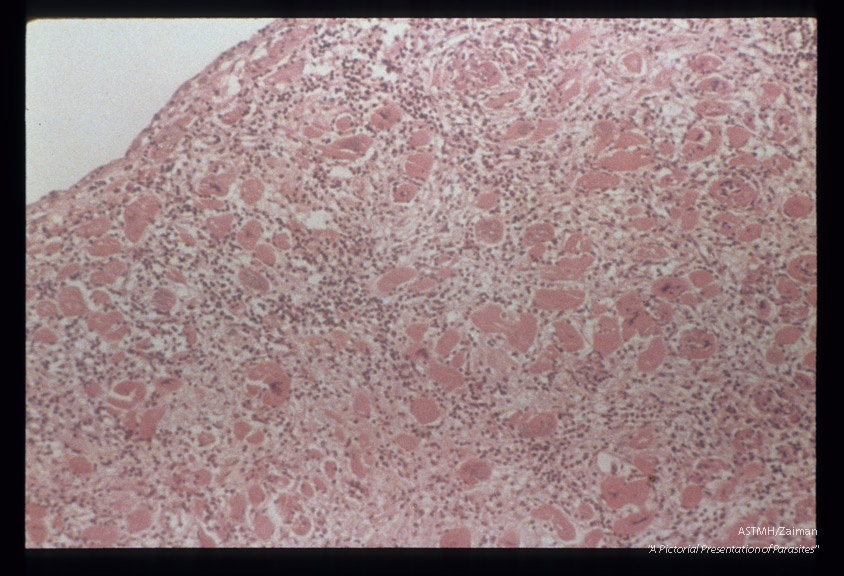
Hematoxylin-eosin stained section of myocardium showing inflammation, fibrosis and masses of leishmania forms.

Trypanosoma cruzi

Download

Size: 186 kB
Description: Hematoxylin-eosin stained section of myocardium showing inflammation, fibrosis and masses of leishmania forms.
Uploaded: 10/27/2015
Type: .jpg

GoTropMed