Pictorial Presentation of Parasites by Herman Zaiman

Thanks to the generosity of Herman Zaiman and his family, ASTMH proudly presents “Pictorial Presentation of Parasites,” a famous collection of more than 2,000 slides of various vectors.

Dr. Zaiman, a longtime ASTMH member, spent his career as a radiologist and educator until retiring in 2000. He taught at Einstein College in New York. He also co-authored several medical texts, including "Photographic Case Studies in Gastroenterology: Diagnostic Tests for the Practitioner" in 1992. Additionally, his writing has appeared in journals such as the Journal of Histochemistry & Cytochemistry and the American Journal of Pathology.

His "Pictorial Presentation of Parasites" is a seminal image collection that will remain a valued resource for those in the tropical medicine and hygiene field for decades to come.

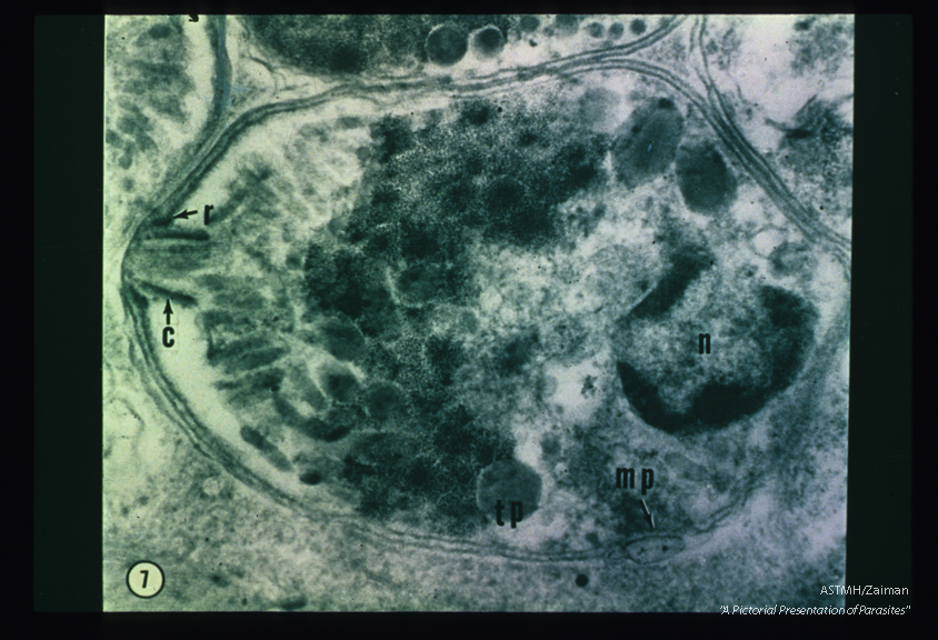
Ultrastructure of parasite in human heart muscle. This photograph shows the nucleus (n), the polar ring (r), the conoid fc), a convoluted tubule (tp) and the micropyle (mp) fairly well.

Toxoplasma gondii

Download

Size: 489 kB
Description: Ultrastructure of parasite in human heart muscle. This photograph shows the nucleus (n), the polar ring (r), the conoid fc), a convoluted tubule (tp) and the micropyle (mp) fairly well.
Uploaded: 10/27/2015
Type: .jpg

GoTropMed