Pictorial Presentation of Parasites by Herman Zaiman

Thanks to the generosity of Herman Zaiman and his family, ASTMH proudly presents “Pictorial Presentation of Parasites,” a famous collection of more than 2,000 slides of various vectors.

Dr. Zaiman, a longtime ASTMH member, spent his career as a radiologist and educator until retiring in 2000. He taught at Einstein College in New York. He also co-authored several medical texts, including "Photographic Case Studies in Gastroenterology: Diagnostic Tests for the Practitioner" in 1992. Additionally, his writing has appeared in journals such as the Journal of Histochemistry & Cytochemistry and the American Journal of Pathology.

His "Pictorial Presentation of Parasites" is a seminal image collection that will remain a valued resource for those in the tropical medicine and hygiene field for decades to come.

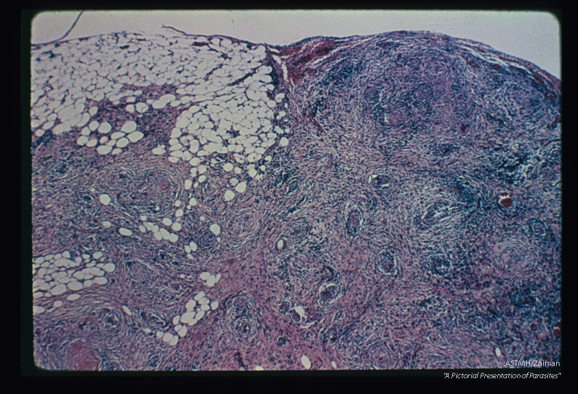
Granulomatous reaction around eggs in mesenteries. A middle aged Puerto Rican female suffering from signs and symptoms of cholecystitis was explored surgically. Gross inspection of the abdomen revealed a thickened mesentery studded with yellow-white granules suggesting metastatic carcinoma. Cholecystectomy was performed. The mesenteric nodules were due to eggs of Schistosoma mansoni.

Schistosoma mansoni

Download

Size: 665 kB
Description: Granulomatous reaction around eggs in mesenteries. A middle aged Puerto Rican female suffering from signs and symptoms of cholecystitis was explored surgically. Gross inspection of the abdomen revealed a thickened mesentery studded with yellow-white granules suggesting metastatic carcinoma. Cholecystectomy was performed. The mesenteric nodules were due to eggs of Schistosoma mansoni.
Uploaded: 10/27/2015
Type: .jpg

GoTropMed