Pictorial Presentation of Parasites by Herman Zaiman

Thanks to the generosity of Herman Zaiman and his family, ASTMH proudly presents “Pictorial Presentation of Parasites,” a famous collection of more than 2,000 slides of various vectors.

Dr. Zaiman, a longtime ASTMH member, spent his career as a radiologist and educator until retiring in 2000. He taught at Einstein College in New York. He also co-authored several medical texts, including "Photographic Case Studies in Gastroenterology: Diagnostic Tests for the Practitioner" in 1992. Additionally, his writing has appeared in journals such as the Journal of Histochemistry & Cytochemistry and the American Journal of Pathology.

His "Pictorial Presentation of Parasites" is a seminal image collection that will remain a valued resource for those in the tropical medicine and hygiene field for decades to come.

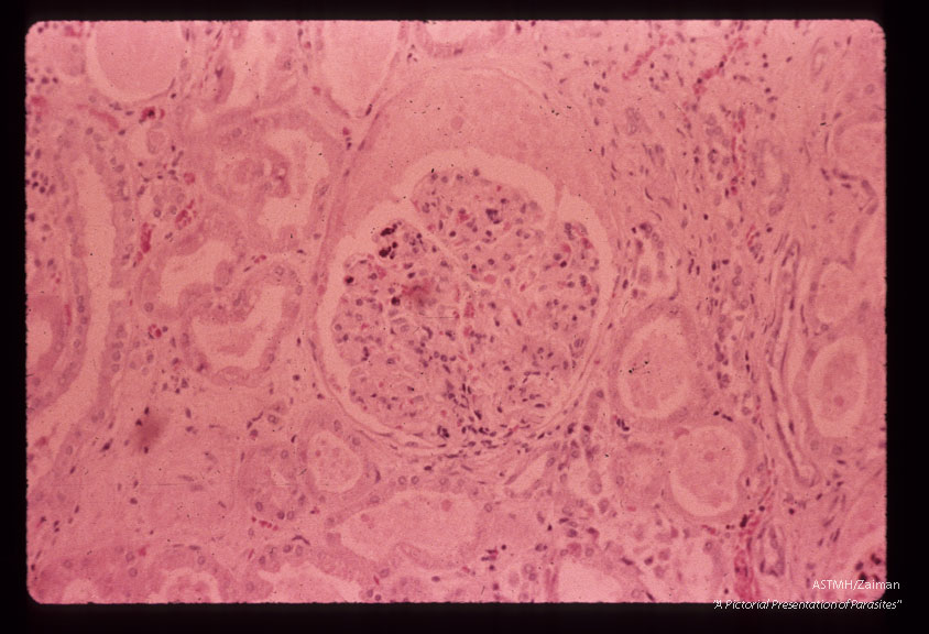
A 69 year old white male received 10 pints of blood shortly before,  during and after gastrectomy for a   benign gastric ulcer.    One of the donors,  a previously infected veteran of the Viet Nam war, registered at the blood bank under a false name and addrer Approximately four weeks after the surgery the patient developed a fatal case of falciparum malaria.  Giemsa stained section of kidneys showing lobular proliferation with mesangeal cells plus pigment deposits. Protein present in Bowman's space. Hydropic changes are present in tubular epithelium.

Plasmodium falciparum

Download

Size: 124 kB
Description: A 69 year old white male received 10 pints of blood shortly before, during and after gastrectomy for a benign gastric ulcer. One of the donors, a previously infected veteran of the Viet Nam war, registered at the blood bank under a false name and addrer Approximately four weeks after the surgery the patient developed a fatal case of falciparum malaria. Giemsa stained section of kidneys showing lobular proliferation with mesangeal cells plus pigment deposits. Protein present in Bowman's space. Hydropic changes are present in tubular epithelium.
Uploaded: 10/27/2015
Type: .jpg

GoTropMed