Pictorial Presentation of Parasites by Herman Zaiman

Thanks to the generosity of Herman Zaiman and his family, ASTMH proudly presents “Pictorial Presentation of Parasites,” a famous collection of more than 2,000 slides of various vectors.

Dr. Zaiman, a longtime ASTMH member, spent his career as a radiologist and educator until retiring in 2000. He taught at Einstein College in New York. He also co-authored several medical texts, including "Photographic Case Studies in Gastroenterology: Diagnostic Tests for the Practitioner" in 1992. Additionally, his writing has appeared in journals such as the Journal of Histochemistry & Cytochemistry and the American Journal of Pathology.

His "Pictorial Presentation of Parasites" is a seminal image collection that will remain a valued resource for those in the tropical medicine and hygiene field for decades to come.

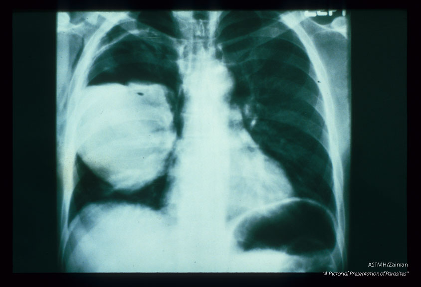
Frontal and lateral chest x-rays. A huge partially empty white cyst is present in the right lung of this patient. It's upper limits are marked by a white pencil-like line of calcium, Above the white fluid and below the white penciled line, the cyst is filled with air (black). This indicates communication between the cyst and a bronchus. Usually an air-fluid interface would be a neat line. In echinococcosis, the line is irregular due to floating collapsed membranes (from the dome of the cyst) and floating daughter cysts. This is the classic floating lily sign of pulmonary echinococcosis.

Echinococcus granulosus

Download

Size: 78 kB
Description: Frontal and lateral chest x-rays. A huge partially empty white cyst is present in the right lung of this patient. It's upper limits are marked by a white pencil-like line of calcium, Above the white fluid and below the white penciled line, the cyst is filled with air (black). This indicates communication between the cyst and a bronchus. Usually an air-fluid interface would be a neat line. In echinococcosis, the line is irregular due to floating collapsed membranes (from the dome of the cyst) and floating daughter cysts. This is the classic floating lily sign of pulmonary echinococcosis.
Uploaded: 10/27/2015
Type: .jpg

GoTropMed