Pictorial Presentation of Parasites by Herman Zaiman

Thanks to the generosity of Herman Zaiman and his family, ASTMH proudly presents “Pictorial Presentation of Parasites,” a famous collection of more than 2,000 slides of various vectors.

Dr. Zaiman, a longtime ASTMH member, spent his career as a radiologist and educator until retiring in 2000. He taught at Einstein College in New York. He also co-authored several medical texts, including "Photographic Case Studies in Gastroenterology: Diagnostic Tests for the Practitioner" in 1992. Additionally, his writing has appeared in journals such as the Journal of Histochemistry & Cytochemistry and the American Journal of Pathology.

His "Pictorial Presentation of Parasites" is a seminal image collection that will remain a valued resource for those in the tropical medicine and hygiene field for decades to come.

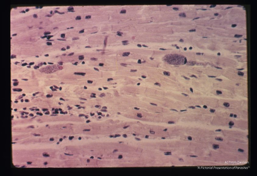
Pseudocysts in human heart. This low power view shows two pseudocysts in the myocardium of an adult patient who had a concommitant blood dyscrasia. Numerous organisms are present in each of the cysts. One of the pseudocysts has a tail-like extension.

Toxoplasma gondii

Download

Size: 506 kB
Description: Pseudocysts in human heart. This low power view shows two pseudocysts in the myocardium of an adult patient who had a concommitant blood dyscrasia. Numerous organisms are present in each of the cysts. One of the pseudocysts has a tail-like extension.
Uploaded: 10/27/2015
Type: .jpg

GoTropMed